We have moved! Our new Gastonia office is located at 2205 E. Franklin Blvd., Ste. 110 Gastonia, NC 28054 — Next to Viva Chicken

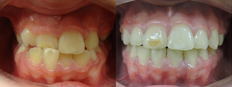
Before and After

Incredible results and inspiring journeys; see some of our patients’ before and after photos the next time you visit our practice.

let’s be social

Contact Us!
call call email